Alinhe seu sorriso com conforto, discrição e tecnologia

Tratamento com Invisalign com quem é referência em estética e ortodontia moderna.

Por que escolher Invisalign?

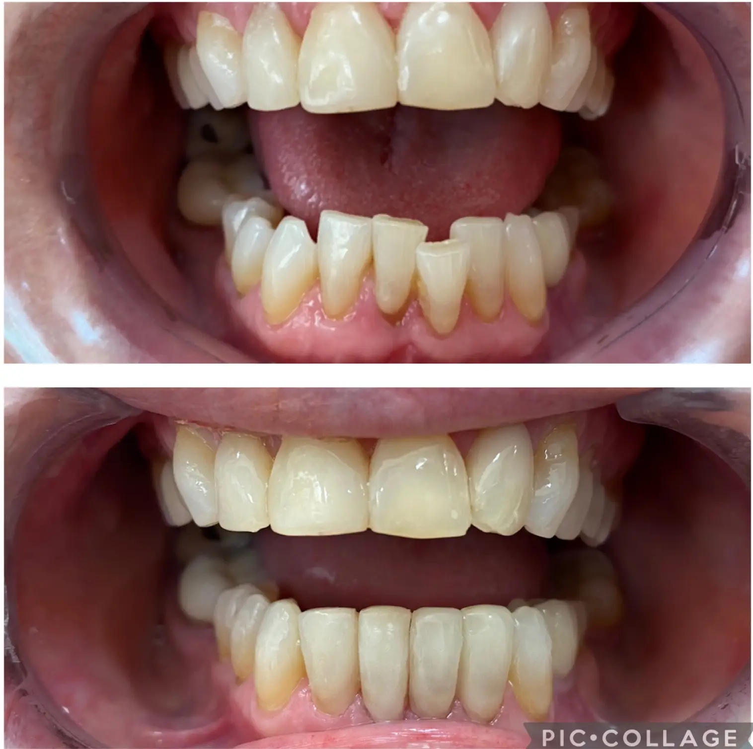
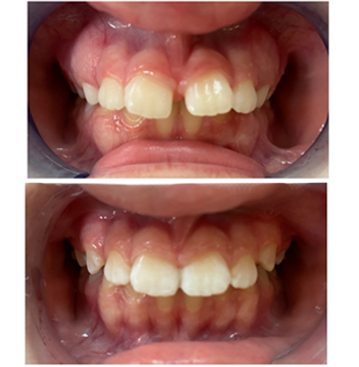
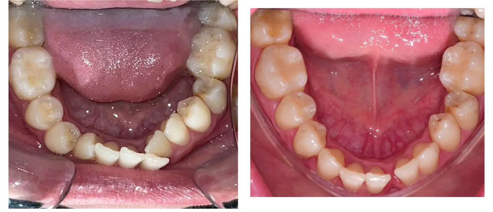
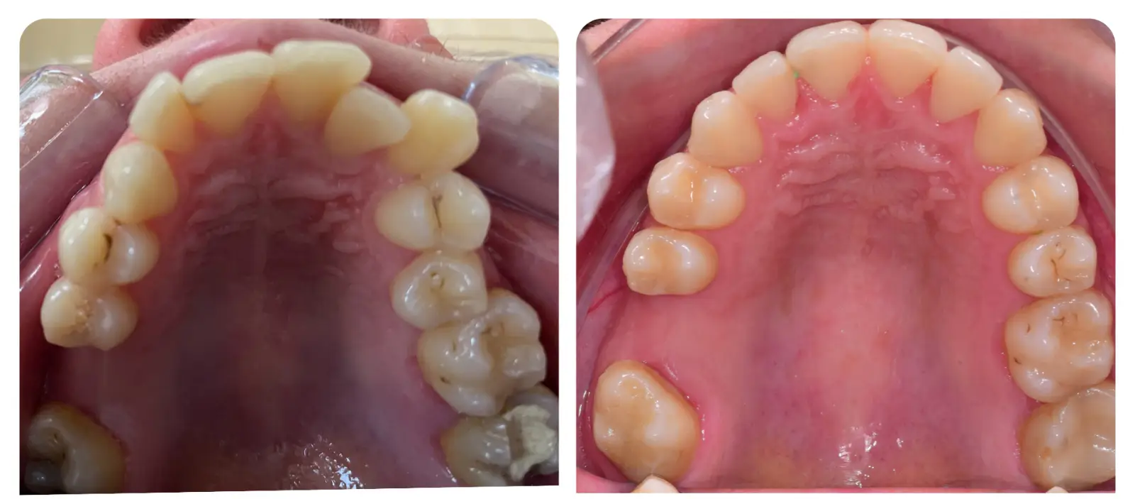
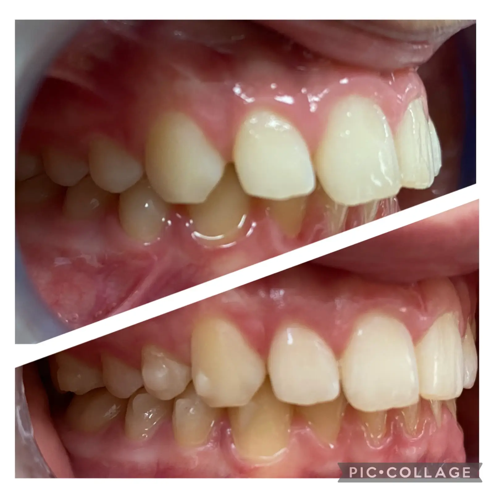
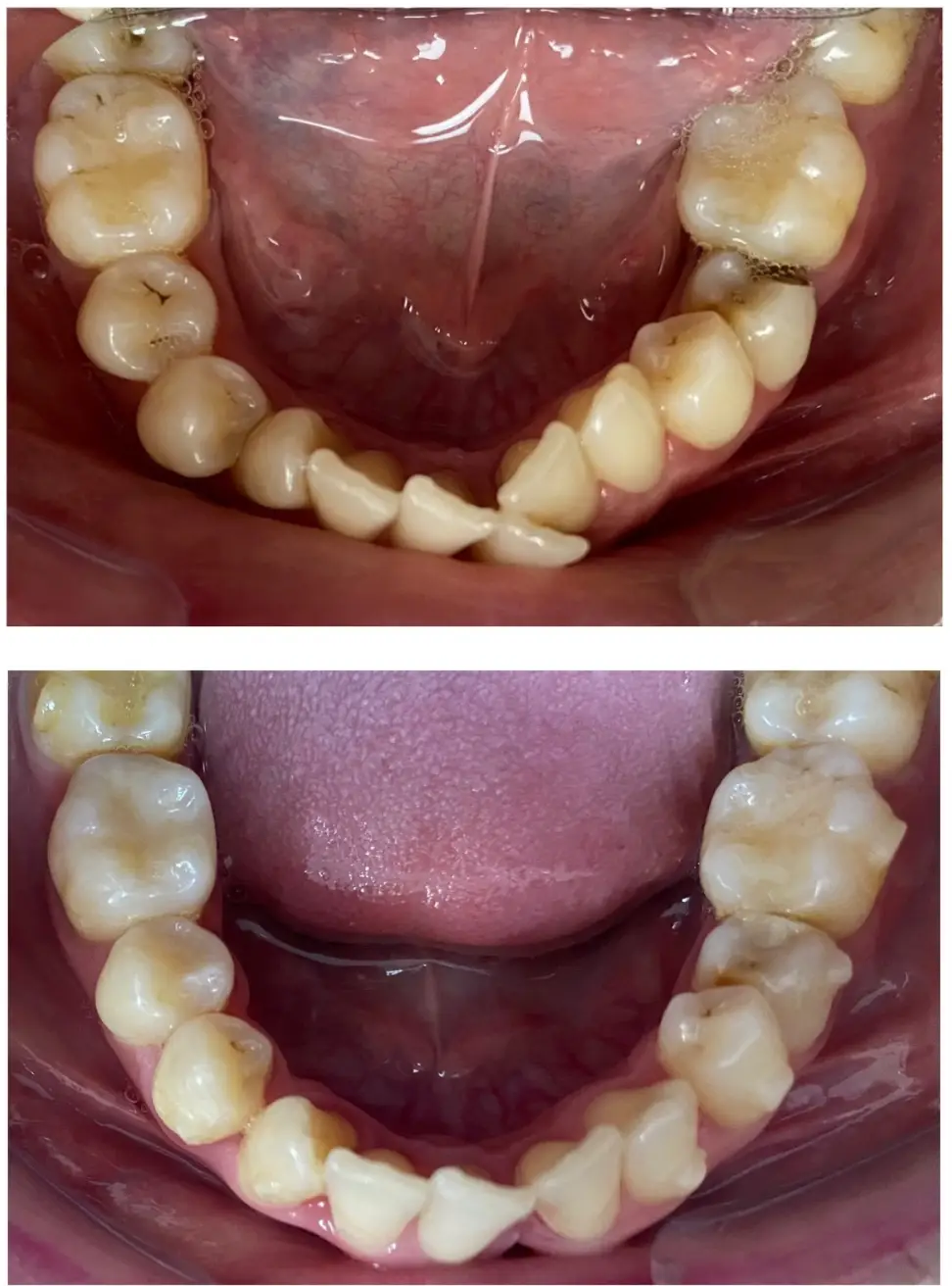
Veja o seu antes e depois já na
primeira consulta

Mais rápido

Ao utilizar tecnologia de ponta, esse alinhador é capaz de proporcionar resultados até 50% mais rápidos do que os aparelhos convencionais. A sua eficácia reside na combinação de materiais de alta qualidade e um processo de fabricação precisa, que garantem um ajuste perfeito aos dentes do paciente.

O Invisalign dá certo no meu caso?

Sim! Com toda a nossa experiência e conhecimento trabalhando com a melhor tecnologia, conseguimos transformar desde os casos mais simples até os mais complexos com alinhadores Invisalign.

tipos-3-copiar.webptipos-1-copiar.webp
tipos-3-copiar.webptipos-4-copiar.webp

Mordida Aberta

tipos-3-copiar.webptipos-5-copiar.webp

Prognatismo

tipos-3-copiar.webptipos-2-copiar.webp

Mordida Cruzada

tipos-3-copiar.webptipos-1-copiar.webp

Diastema

tipos-3-copiar.webptipos-6-copiar.webp

Apinhamento

tipos-3-copiar.webptipos-7-copiar.webp

Mordida Profunda

Como Funciona o Tratamento

Seu novo sorriso em 4 etapas:

01

Avaliação com escaneamento digital

02

Planejamento 3D do sorriso

03

Uso dos alinhadores personalizados

04

Acompanhamento até o resultado final

Tecnologia SmartTrack

Essa tecnologia aplica a força necessária para a movimentação dos dentes, que aliado à experiência clínica do nosso especialista permite um tratamento até 50% mais ágil que o aparelho convencional.

Resultados reais com Invisalign

Transformações discretas que fazem toda a diferença.

O que nossos pacientes dizem

Conheça a Dra Lilian Regis

Cirurgiã-dentista com 40 anos de experiência, especializada em ortodontia, com centenas de pacientes satisfeitos.

Está pronto para transformar seu sorriso?

Dúvidas frequentes

Os valores dependem principalmente da complexidade de cada caso e, consequentemente, do tempo de tratamento e também a quantidade de alinhadores (plaquinhas) que você vai utilizar para deixar seu sorriso perfeito.

Você começará a ver os resultados em poucas semanas utilizando seus alinhadores.

O tempo total de tratamento dependerá da complexidade do seu caso. Algumas pessoas vão precisar de mais plaquinhas alinhadoras que outras, porem, em média, conseguimos resultados bem mais rápidos que os aparelhos fixos tradicionais.

De 18 a 22 horas por dia, removendo os alinhadores somente para alimentação e higienização.

O tratamento é feito através da troca sequencial das placas transparentes (alinhadores) que devem ser utilizadas na sequencia correta. Esta sequência é determinada pelo meu planejamento digital personalizado, que é uma simulação 3D das movimentações desejadas.

A movimentação dos dentes se dá justamente por esta troca de alinhadores, ou seja, cada alinhador empurra um pouco o dente para o sentido que ele deve ir para transformar o seu sorriso.

O meu protocolo de tratamento é muito preciso, por que todos os movimentos são simulados antes mesmo da fabricação dos seus alinhadores.

Sim, somente há necessidade de remoção do Invisalign em caso de bebida muito quente.

Sim! Você pode comer qualquer alimento, só precisa remover os alinhadores Invisalign.

Sim e com muita segurança.

Depois que fizermos o seu escaneamento digital 3D na primeira consulta, faremos o planejamento digital personalizado do seu tratamento tendo o cuidado de nāo realizar movimentos com o implante, somente dos dentes próximos a ele.

Infelizmente não existe movimentação ortodôntica sem dor. Sendo assim, você irá sentir uma pressão moderada nos dentes, principalmente no dia que trocar o alinhador. Mas podemos garantir que o desconforto será muito menor que qualquer aparelho convencional pelo fato das forças serem menores, mais precisas e mais controladas

Não, as consultas poderāo ser feitas a cada 2 ou 3 meses, dependendo da fase do tratamento ou da complexidade do caso. Com base em nosso planejamento individualizado, alguns alinhadores serão trocados aqui na clínica e outros vc mesmo trocará em casa, de forma muito simples e rápida. Os alinhadores deverāo ser trocados a cada 10 ou 15 dias seguindo nossas orientações.

Não há limite de idade para usar o Invisalign. Desde crianças, ainda com dentes de leite, até idosos, podem se beneficiar do uso dos alinhadores.

Sim, isso irá garantir a manutenção do resultado obtido evitando o retorno do mau posicionamento dos seus dentes e também, novas alterações que podem acontecer com o envelhecimento.
Utilizamos principalmente as contenções transparentes (Vivera) confeccionadas com a mesma tecnologia dos alinhadores Invisalign

Atendimento com segurança, conforto e sigilo total

Av Almirante Wandenkolk 1243 / 802-804, Belem Do Pará, Para, Brazil 66055-030

Horário de Atendimento
Segunda a sexta: 08h às 18h
Sábado: 08h às 12h